Che cosa sono i reumatismi? Quali le loro cause? Come si curano?
Sono alcune delle domande a cui andremo a rispondere in questo breve articolo.
Nel linguaggio comune le persone fanno rientrare tra i reumatismi tutti quei dolori che localizziamo a ossa, muscoli e articolazioni. Il termine viene di solito utilizzato per descrivere quell’insieme di sintomiche comportano dolore con intensità diversa e che riducono la funzionalità della parte colpita. L’accezione fa riferimento sia a dolori di tipo transitorio sia alla conseguenza di una malattia reumatica.
I disturbi che emergono sono ai danni dell’apparato locomotore e dei tessuti connettivi dell’organismo.
Quali sono le cause?
In linea generale possiamo suddividere i reumatismi in infiammatori, i più importanti sono: l’artrite reumatoide e l’artrite sieronegatice (artrosi psoriasica). Alcune forme di artriti danno dolore colpendo la schiena come le spondiliti oppure manifestazioni più ampie come il lupus eritematoso che vanno sotto il cappello delle connettiviti.

Nella rappresentazione possiamo vedere l’aspetto di un’artrite reumatoide alla mano. Questo tipo di infiammazione causa dolore e deformità alle mani. E’ caratterizzata da un processo autoimmune, ha carattere erosivo e, in casi estremi, porta alla rottura delle strutture articolari. Interessa soggetti di qualsiasi età ma più frequente in soggetti che hanno superano la soglia dei 40 anni.
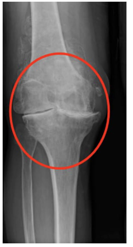
Di altro genere sono le malattie reumatiche degenerative e croniche di cui ne fa da padrone l’artrosi. Questa è una patologia associata all’età. Colpisce in prevalenza anca, ginocchio, spalla e colonna vertebrale. La causa è il deterioramento della cartilagine che riveste le superfici delle ossa a livello articolare. Se sottovalutata le ossa arrivano a sfregarsi tra loro provocando dolore, gonfiore e rigidità. Anche il sovrappeso e l’obesità sono tra i fattori di rischio e incorrono nel peggioramento della patologia.
In questa radiografia al ginocchio possiamo osservare la degenerazione degli strati di cartilagine e lo sfregamento tra il femore e la tibia.
L’artrosi al ginocchio è il risultato di una combinazione di fattori tra cui: peso, avanzamento dell’età ed infortuni. Il soggetto che ne è affetto accusa: rigidità articolare, ridotta mobilità e dolore

La reumatologia è donna!
La società Italiana di reumatologia (SIR) sottolinea che in Italia sono oltre 5 milioni i pazienti affetti da reumatismi a cui va aggiunto un elevato numero di persone che non ha consapevolezza della propria malattia. La maggioranza di questi numeri vede interessate le donne nelle quali le malattie reumatiche agiscono con maggiore aggressività, l’ incidenza è infatti 7-10 volte superiore a quella degli uomini.
Esiste una correlazione tra malattie reumatiche e tempo atmosferico?
Il legame esiste perché lo dicono le persone che soffrono di una malattia reumatica, quale esattamente questo sia non lo sappiamo. Tutte le malattie tendono a peggiorare nei mesi invernali e soprattutto i dolori artrosici. Recenti studi confermano che l’abbassamento delle temperature determina un aumento dei liquidi extracellulari e un conseguente stato infiammatorio.
Come si curano?
I dolori reumatici non hanno una cura definitiva. Possiamo agire in 3 diverse modalità sia singole sia in modo combinato:
- cure farmacologiche;
- cambiamenti dello stile di vita;
- cure naturali.
Cure farmacologiche
Le cure farmacologiche sono il presidio più immediato. Dovrebbero essere sempre prescritte dal proprio medico e utilizzate solo quando necessario ma questo non sempre avviene; secondo un’articolo apparso su issalute nel 2018 si afferma che “gli italiani si affidano al “fai da te”, utilizzando antinfiammatori non steroidei in modo non corretto e confondendoli con gli analgesici
Cambiamento dello stile di vita
Diminuzione di peso, cambiamento della dieta, evitare quelle abitudini o quegli sforzi che possono portare ad affaticamento della parte soggetta a reumatismo sono i rimedi che riescono a dare un risultato immediato. Molti di questi cambiamenti purtroppo non sempre avvengono sia per la difficoltà di intraprendere un radicale cambio di vita sia perché molti problemi emergono dall’attività lavorativa che non è quasi mai possibile abbandonare.
Cure naturali
Tra le cure naturali, sanotech ne consiglia due ai propri lettori:
– Utilizzo di magnetoterapia a campi elettromagnetici pulsati (CEMP). Il trattamento con i CEMP consiste nel esporre la parte interessata, o l’intero corpo a frequenze magnetiche per ottenere una riduzione significativa dei sintomi. Le sedute possono andare da una durata minima di 40 minuti per due volte al giorno con l’utilizzo dei solenoidi fino all’utilizzo durante tutte le ore di sonno con un supporto dedicato.
– affiancare ad una dieta sana l’utilizzo della Boswellia. E’ un integratore alimentare che viene estratto dalla corteccia delle piante della famiglia delle burseraceae. Ricca in acidi boswelici, già nota nella tradizione ayurvedica, è dimostrata la sua azione lenitiva sulla fisiologica funzionale articolare.

In queste rappresentazioni possiamo vedere utilizzo dei solenoidi localizzati nel ginocchio per il trattamento di una singola articolazione e un trattamento diffuso in tutto il corpo. Quest’ultima modalità ha il vantaggio di rafforzare le proprietà rigenerative del sonno alla funziona e antalgico / antinfiammatoria della magnetoterapia.


Da oltre 40’anni gli elettromedicali certificati sono uno tra i più importanti supporti alla medicina per il trattamento delle patologie osseo articolari. Con i CEMP le persone riescono a ritrovare una migliore quotidianità senza le controindicazioni che comporta l’utilizzo massivo di farmaci.




